Gallery
Some of our Videos
Ultrasound and Pregnancy Care Kathmandu
Welcome to the Lomash Health Care Center gallery. We provide the most reliable ultrasound and pregnancy care Kathmandu has to offer, specializing in high-definition imaging and maternal health diagnostics.
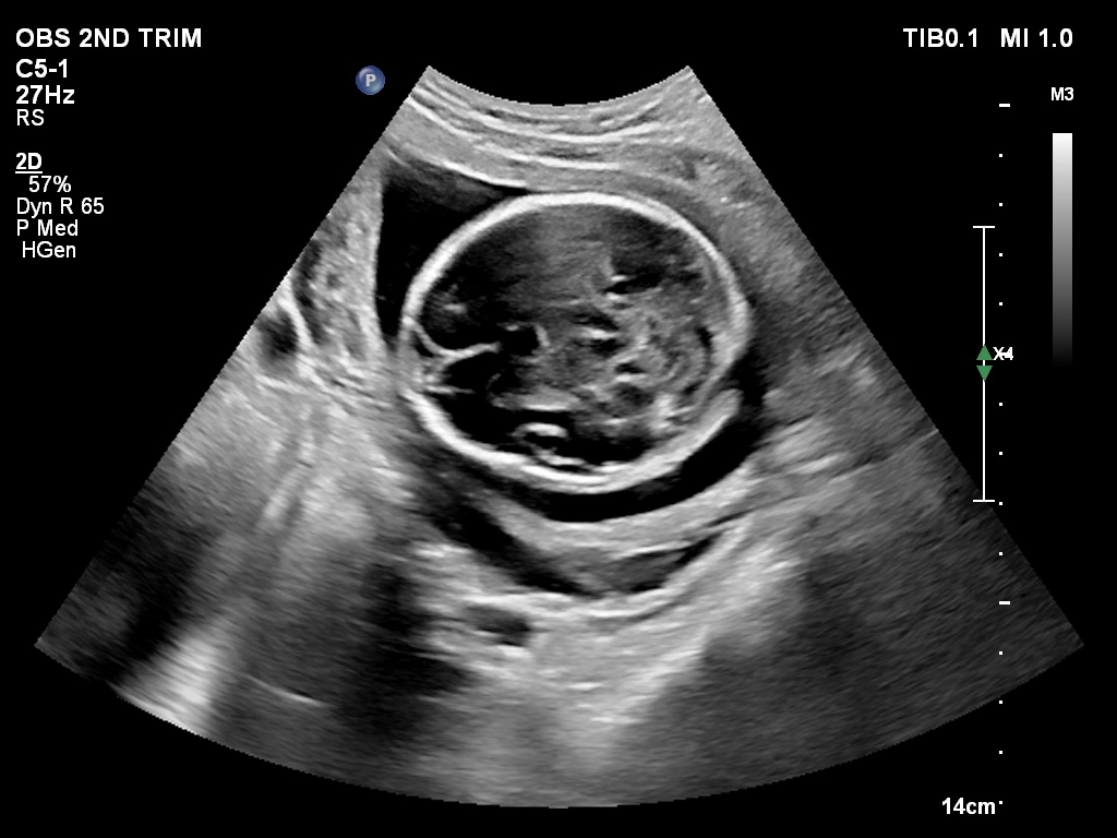
🔹 Anomaly Scan (Level II Ultrasound)
Anomaly Scan is a detailed ultrasound performed during pregnancy (usually between 18 and 22 weeks) to check the baby’s development. It helps detect structural abnormalities in the brain, heart, spine, kidneys, and other organs. This scan ensures your baby is growing normally and helps doctors identify any potential complications early. If you are looking for a reliable anomaly scan in Kathmandu, an early and accurate diagnosis is essential for a safe pregnancy.
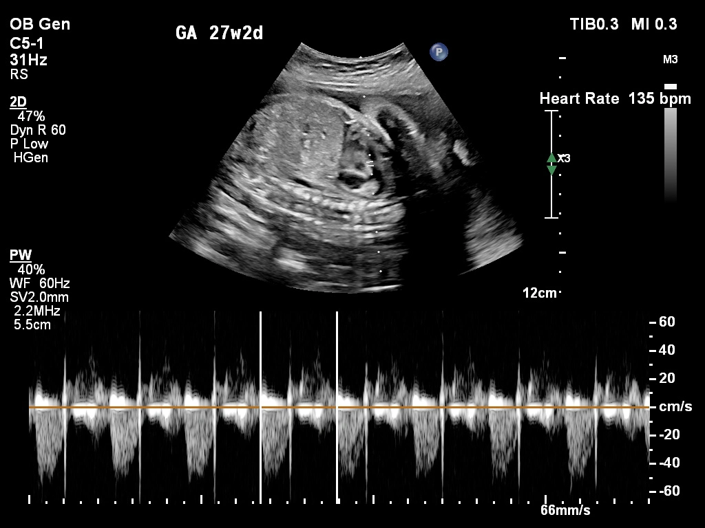
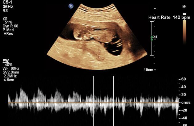
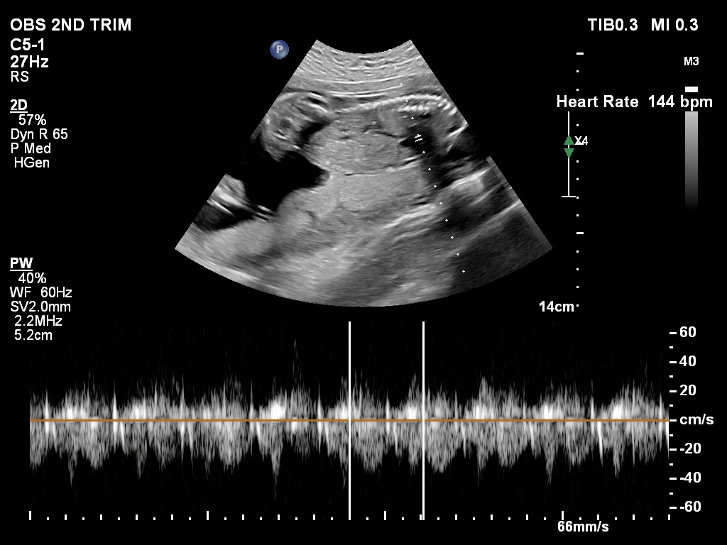
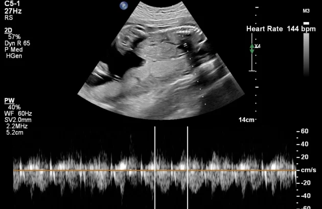
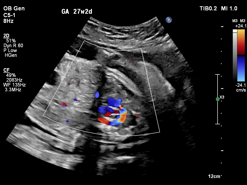
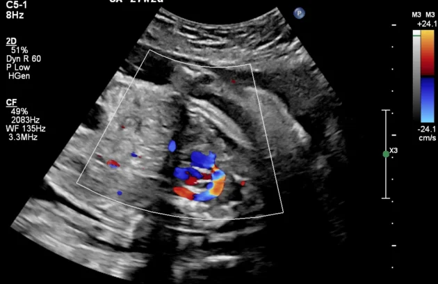
🔹 Fetal Echo / Adult Echo (Echocardiography)
Echo (Echocardiography) is a specialized ultrasound used to examine the heart. Fetal Echo evaluates the baby’s heart structure and function during pregnancy, while Adult Echo checks heart health in adults. It helps detect congenital heart defects, valve problems, and blood flow issues. If you need a fetal echo in Kathmandu, this test plays a vital role in early diagnosis and treatment planning.
🔹 NT/NB Scan (Nuchal Translucency / Nasal Bone Scan)
NT/NB Scan is an early pregnancy screening test done between 11–13+6 weeks. It measures the fluid behind the baby’s neck (NT) and checks the nasal bone (NB) to assess the risk of chromosomal conditions like Down syndrome. This scan is crucial for early detection and helps parents make informed decisions. For an accurate NT scan in Kathmandu, timely testing is highly recommended.
🔹 Pregnancy Confirmation Scan
Pregnancy Confirmation Scan is the first ultrasound performed to confirm pregnancy and detect the baby’s heartbeat. It helps determine gestational age, location of pregnancy (intrauterine), and rule out conditions like ectopic pregnancy. If you suspect pregnancy, a pregnancy ultrasound in Kathmandu ensures early confirmation and peace of mind.
🔹 3D / 4D Ultrasound
3D/4D Ultrasound provides a clear and real-time view of your baby inside the womb. While 3D shows detailed images, 4D allows you to see live movements like smiling or yawning. It enhances bonding between parents and baby while also helping doctors assess physical development. Experience advanced 4D ultrasound in Kathmandu for a memorable and informative pregnancy journey.
🔹 PCOS (Polycystic Ovary Syndrome) Evaluation
PCOS is a common hormonal condition affecting women’s reproductive health. It can cause irregular periods, weight gain, acne, and difficulty in getting pregnant. Ultrasound plays a key role in diagnosing PCOS by detecting multiple ovarian cysts. If you are experiencing symptoms, an early PCOS diagnosis in Kathmandu helps in proper management and treatment.
